Active Lifestyle / Sports Physiotherapy
Active Lifestyle / Sports Physiotherapy
Move better. Train confidently. Recover with clarity.
At Weheal, we help active people and everyday athletes move, train and recover with confidence. Whether you enjoy running, cycling, gym training, padel, tennis or golf, we design personalised programs that adapt to your sport, your level and your goals — always with clear progressions and honest guidance.
Sports injuries often come with difficult questions: How long will this take? Can I keep training? When will I be back at my best? Our aim is to give you clear answers from day one, so you know what to expect and how to move forward safely.
We combine modern physiotherapy, individualised exercise and movement-based rehabilitation with realistic timelines for recovery, so your plan fits your life — not the other way around.
Clear guidance for a safe and informed comeback
Returning to sport too early is one of the main reasons for recurrent injuries. That’s why we focus on clarity and communication throughout your process.
Together we define:
No guesswork. You always know what is safe, what needs more time and what comes next.




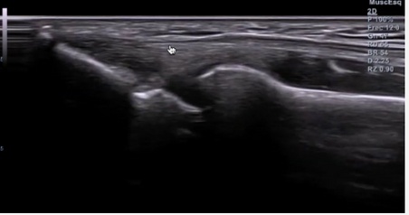
Ultrasound support for better clinical decisions
We use musculoskeletal ultrasound as a complementary tool when it adds value to your assessment and treatment plan.
It helps us visualise tendons, muscles and soft tissue structures, support clinical hypotheses and monitor how certain injuries evolve over time.
We are always transparent: we are not radiologists. Ultrasound is not used for medical diagnosis but as an additional layer of information to personalise and guide your rehabilitation.
Advanced technology to support your recovery
Technology is never the centre of your treatment — movement is. But the right tools can make recovery faster, more comfortable and more efficient.
When biomechanics or technique are a key factor, we collaborate with — and refer to — specialised coaches or S&C professionals to optimise performance and prevent reinjury.


In-person care and online follow-up
Your rehabilitation doesn’t stop when you leave the clinic. We combine onsite physiotherapy with structured online support.
Common sports injuries we work with
We regularly help runners, cyclists, gym athletes and racket-sport players with:
Tell us about your sport, your goals and your situation. We’ll help you build a clear and realistic plan to keep you moving.

